In evidenza

10/06/2022

Tumori, Covid e medicina di precision

I membri di p-care organizzano un incontro con il pubblico per discutere di medicina anti-cancro di precisione e dell'impatto del Covid sulle cure oncologiche.

10/06/2022

Discutere gli aspetti tecnologici dei modelli di medicina oncologica di precisione e rimanete nella ricerca di prima linea sul cancro!

I ricercatori discutono con i colleghi gli aspetti tecnologici del loro lavoro sperimentale per accelerare insieme il progresso scientifico. Come secondo highlight, un gruppo di scienziati di spicco discute le loro ricerche d'avanguardia sul cancro in seminari di esperti.

10/06/2022

Scoprire le vie che controllano l'immortalizzazione utilizzando organoidi tumorali

Il partner di p-care Stefan Schoeftner e il suo team dell'Università pubblicano un articolo scientifico che utilizza organoidi tumorali per fornire informazioni sui meccanismi di immortalizzazione delle cellule tumorali (Nature Communications).

10 giu 2022

3° workshop p-care con focus sulla resistenza alle terapie e sull'immunologia del cancro

I partner di p-care organizzano il tradizionale workshop sulla medicina di precisione del cancro per aggiornare ricercatori e studenti sull'immunologia del cancro e sulla resistenza alle terapie.

10 giu 2022

Il 2° Workshop p-care: Aggiornamento sui nuovi sviluppi della medicina oncologica di precisione

I partner di p-care organizzano un workshop sulla medicina oncologica di precisione per aggiornare ricercatori e studenti sui più recenti sviluppi nel campo della ricerca sul cancro.

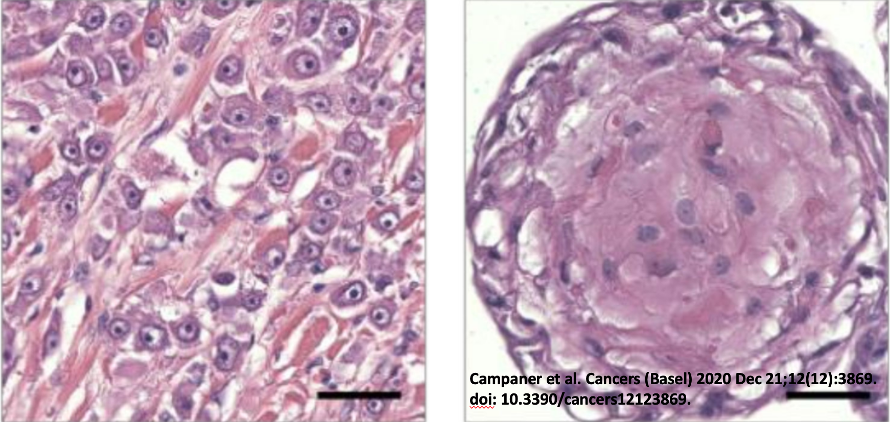
21 dic 2020 PUBBLICAZIONE

Tumori al seno: per saperne di più sulle caratteristiche di ciascuna paziente

Il partner di p-care Giannino Del Sal e il suo team all'Università di Trieste hanno pubblicato oggi un articolo scientifico sulla rivista internazionale Cancers (Basel).

05 dic 2020 EVENTO

Si è concluso il primo workshop sulla medicina di precisione organizzato da p-care

138 le persone connesse che hanno seguito l’evento dalle diverse regioni transfrontaliere rappresentate nel progetto.

04 dic 2020 EVENTO

Online il 1° Workshop di p-care

Comincia oggi, online, alle ore 11 il primo workshop sulla medicina anti-cancro di precisione organizzato da p-care.