Highlights

10/06/2022

Tumors, Covid and precision medicine

p-care members organize a meeting with the public to discuss precision cancer medicine and the impact of Covid on cancer care.

10/06/2022

Discuss technologic aspects of models of precision cancer medicine and stay at the forefront of cancer research!

Researchers discuss technological aspects of their experimental work with colleagues to accelerate scientific progress together. As second highlight a panel of leading scientist discuss their cutting edge cancer research in expert's seminars.

10/06/2022

Unravelling pathways that control immortalization using tumor organoids

p-care partner Stefan Schoeftner and his team at the University of Trieste publish a scientific article involving the use of tumor-organoids to provide insights into mechanisms of cancer cell immortalization (Nature Communications)

10 Jun 2022

3rd p-care workshop with focus on therapy resistance and cancer immunology

10 Jun 2022

The 2nd p-care workshop: Getting updated on new developments in precision cancer medicine

I partner di p-care organizzano un workshop sulla medicina oncologica di precisione per aggiornare ricercatori e studenti sui più recenti sviluppi nel campo della ricerca sul cancro.

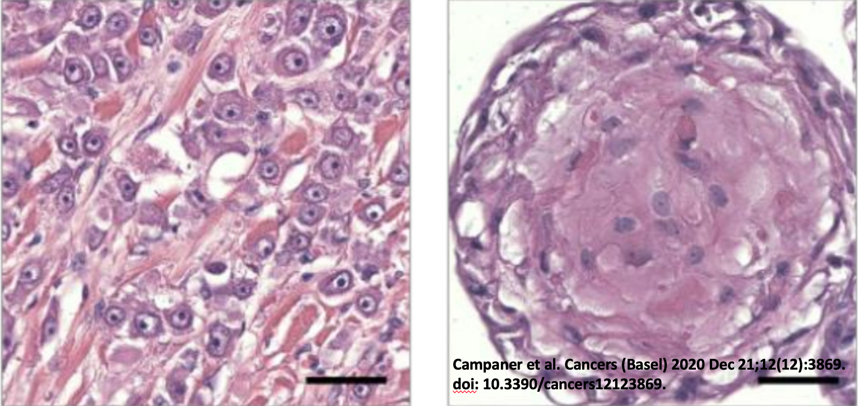
21 Dec 2020 PUBLICATION

Insights on patient-specific breast tumors

p-care partner Giannino Del Sal and his team at the University of Trieste, Italy, have published a research article today in the international journal Cancers (Basel).

05 Dec 2020 EVENT

The 1st p-care Workshop on Precision Cancer Medicine successfully concluded

138 people in all were connected and followed the event from the crossborder regions involved in the project.

04 Dec 2020 EVENT

1st p-care Workshop

The first p-care workshop on precision cancer medicine will be held online today, starting at 11:00.