Highlights

10.06.2022

Tumore, Covid und Präzisionsmedizin

p-care-Mitglieder organisieren ein Treffen mit der Öffentlichkeit, um über Präzisionskrebsmedizin und die Auswirkungen von Covid auf die Krebsbehandlung zu diskutieren.

10.06.2022

Diskutieren Sie technologische Aspekte von Modellen der Präzisionskrebsmedizin und bleiben Sie an der Spitze der Krebsforschung!

Forscher diskutieren technologische Aspekte ihrer experimentellen Arbeit mit Kollegen, um den wissenschaftlichen Fortschritt gemeinsam zu beschleunigen. Als zweiter Höhepunkt diskutieren führende Wissenschaftler in Expertenseminaren ihre cutting-edge Krebsforschung

10.06.2022

Entschlüsselung der Mechanismen der Immortalisierung mit Hilfe von Tumororganoiden

p-care Partner Stefan Schoeftner und sein Team an der Universität Trieste veröffentlichen einen wissenschaftlichen Artikel, in dem die Verwendung von Tumororganoiden Einblicke in die Mechanismen der Immortalisierung von Krebszellen gibt (Nature Communications)

10 Jun 2022

Der 3. p-care Workshop mit Fokus auf Therapieresistenz und Krebsimmunologie

Die p-care Partner organisieren einen Workshop zum Thema Präzisionskrebsmedizin, um Forscher und Studenten auf den neuesten Stand der Entwicklungen in der Krebsforschung zu bringen.

10 Jun 2022

Der 2. p-care Workshop: Aktuelle Informationen über neue Entwicklungen in der Präzisionskrebsmedizin

Die p-care Partner organisieren einen Workshop zum Thema Präzisionskrebsmedizin, um Forscher und Studenten auf den neuesten Stand der Entwicklungen in der Krebsforschung zu bringen.

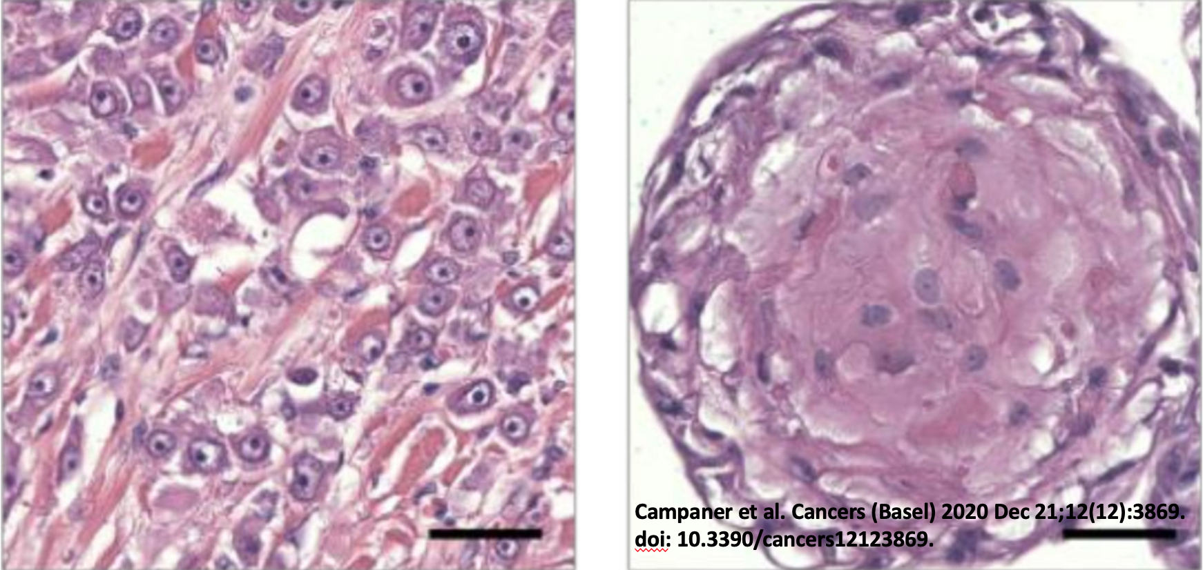
21 Dez 2020 WISSENSCHAFTLICHE

Einblicke in patientenspezifische Brusttumore

p-care Partner Giannino Del Sal und sein Team an der Universität Triest, Italien, haben heute einem Forschungsartikel in der internationalen Fachzeitschrift „Cancers (Basel)“ veröffentlicht wurde.

05 Dez 2020 VERANSTALTUNG

Der erste von P-care organisierte Workshop über Präzisionsmedizin zur Krebsbekämpfung hat erfolgreich stattgefunden

138 Personen verfolgten die Veranstaltung online und waren aus den verschiedenen im Projekt vertretenen Regionen dazugeschaltet.

04 Dez 2020 VERANSTALTUNG

1. p-care Workshop zur Präzisionskrebsmedizin

Der erste von p-care organisierte Workshop über Präzisionsmedizin zur Krebsbekämpfung beginnt heute um 11 Uhr online.